Let’s say a patient presents with typical stroke symptoms – sudden onset of left-sided weakness (hemiplegia) and sensory loss. How do you tell if it’s due to an ischemic or hemorrhagic stroke? The difference is important, as one is treated with blood pressure control while the other may receive tPA and more liberal blood pressure goals.
It turns out that the only practical way to differentiate an ischemic vs. hemorrhagic stroke is with rapid imaging, usually a non-enhanced head CT. In the olden days, a spinal tap may have been done to look for evidence of hemorrhage.

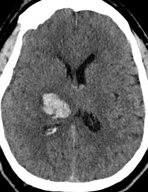
This patient has a right thalamic hemorrhagic stroke – most likely from hypertension. The most common locations for hypertensive hemorrhages in the brain are the:
- Putamen
- Thalamus
- Pons
- Cerebellum
