Great review book that had lots of great facts for both adult and pediatric topics, highly recommended and definitely worth your time.
Raven Neurology Review is a collection of comprehensive case-based study guides for medical students, residents and advanced practice providers, as well as Neurons – a weekly newsletter with easily digestible neurology facts and lessons.
What our Fans are Saying
Wonderful, concise review! Easy to read and packed with info. Highly recommend!
Excellent review book for the clerkship and shelf…covers essential topics and includes helpful practice questions with explanations!
Check out the Raven Neurology Review resources
Neurons: Neurology Teaching Blog
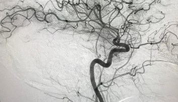
Large Artery Occlusion
See images from a stroke thrombectomy.
Its a TRAP!
Learn the cardinal signs of Parkinson Disease.
Air in the Brain
How to identify pneumocephalus on a head CT.
Cerebellar Atrophy
Do you know the common substances that cause cerebellar atrophy?
Sinemet – Levodopa Side Effects
Levodopa was known to cause one side effect in particular…
Bell’s Phenomenon
Something interesting happens when you close your eyes.
Epidemiology of Multiple Sclerosis
The geography and epidemiology of MS, with a short quiz!
Glioblastoma
The butterfly lesion – learn how to recognize glioblastoma (GBM) on MRI.
Classic Lesions in MS
Learn how to identify a classic MRI finding in Multiple Sclerosis.
Expert Review for Neurology Students
