Percherons are intelligent draft horses from western France, as seen in this painting by Rosa Bonheur of a French horse fair in the mid-1800’s. A number of white Percherons are seen on the right side of the painting.

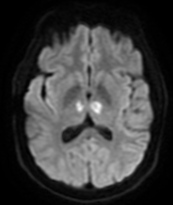
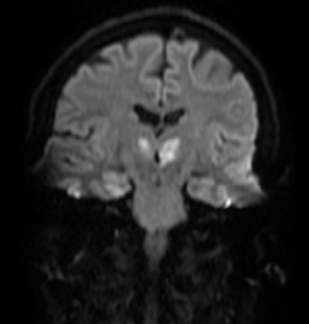
In neurology, the Artery of Percheron is a rare anatomical variant in which the blood supply for both medial thalamic nuclei arises from a single small arteriole at the top of the basilar artery, rather than from two individual arteries. An embolism or occlusion in the Artery of Percheron causes simultaneous bilateral infarcts. The medial thalami are necessary for maintenance of consciousness and attention, therefore artery of percheron stroke can cause an abrupt decrease in level of consciousness, confusion and drowsiness.


For an added neurological connection, the dome of the Salpêtrière hospital, the famous neuropsychiatric teaching hospital made famous by Jean-Marie Charcot, is seen in the background of Bonheur’s painting (see below).

