What to make from disproportionately enlarged ventricles?
Normal pressure hydrocephalus (NPH) is a somewhat controversial condition, characterized by a triad of:
- Gait ataxia – sometimes described as ‘magnetic’ because the feet seem to “stick to the floor.”
- Dementia – usually slowly progressive, frontal type dementia.
- Urinary incontinence – Typically the first symptom in the triad to be clinically apparent.

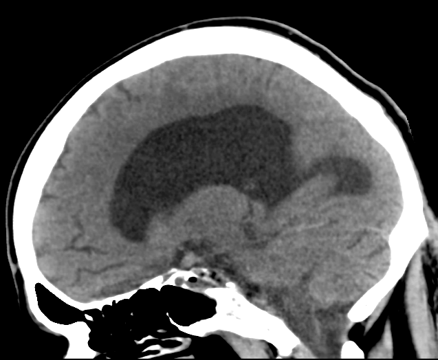
Coronal CT 
Saggittal CT 
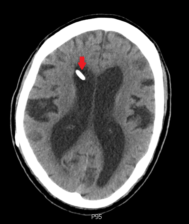
Axial CT
One of the key radiographic findings in NPH is enlarged ventricles, out of proportion to cortical atrophy. Remember that generalized brain atrophy can lead to hydrocephalus ex-vacuo, or large appearing ventricles simply as a result of diffuse volume loss. Look at the three images above – in each, the ventricles are much larger than expected.
Lumbar puncture should show a normal opening pressure as well as normal spinal fluid, without evidence of inflammation or elevated CSF protein. It is also important to rule out other causes of hydrocephalus, such as obstruction.
Diagnosis is usually made by performing a large volume lumbar puncture (> 20 cc’s of CSF removed), and observing for transient improvement in gait.
Treatment of NPH includes placement of a ventriculoperitoneal shunt for constant CSF drainage.

The cover image is from Andreas Vesalius’s De humani corporis fabrica, published in 1543 – although Vesalius believed the ventricles housed the body’s vital force, his drawing shows them at normal size.

For more information see page 227 in the Medical Student Review book.
