The omega sign will help you to localize lesions on neuroimaging studies.
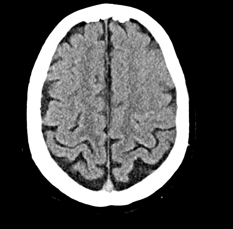
The omega sign, named after the Greek letter, is a handy reference for identifying the motor cortex in the brain.

The motor cortex is the most posterior part of the frontal lobe. A significant portion of the motor cortex is devoted to fine control of the hands, and the motor cortex swells and bulges out in the hand area – looking something like the Greek letter omega, above.

Spotting the Omega signs helps identify the primary motor and primary sensory cortex, as well as to localize the motor hand area.

Remember that identifying the hand knob helps you to identify the central sulcus, which separates the frontal lobe from the parietal lobe.
And the cover photo? The Greek Parthenon, in Athens, home of Omega.

To wrap up, here’s a brain MRI showing a left MCA stroke (bright on diffusion) – based on the location, can you guess what symptoms the patient presented with?

You should be able to use to omega sign to identify this as a stroke involving the left hand knob – the patient presented with isolated right hand weakness.
For more pearls on neuroanatomy or neuroimaging, check out the free e-books, downloadable on the Free Stuff section of the website, or go in-depth with the Raven Review Medical Student or Advanced Practice Provider review books.
